ADVANCED IMAGING CENTER
PHYSICIAN NEWS

January 3, 2000

Advanced Topics in Nuclear Radiology: Value of Positron Emission
Tomography (PET) in work-up of Oncology Patients

Q.       Can you tell me more about the new SPECT/PET camera at AIC?

Certainly.   The new scanner at AIC is a top-of-the-line Siemens state-of-the-art dual head gamma camera that can perform PET scans based on the new coincidence technology as well as full range of Nuclear Medicine scans including SPECT.   It can do bone scans, HIDA scans, Gallium scans, Indium white cell scans, thyroid scans, V/Q scans, as well as cardiac scans.

Q.       What agent is used in PET imaging and what are some of the indications?

PET imaging uses a glucose analogue called F18-Fluoro-Deoxy-Glucose or FDG.   In the body, PET is used in oncology to detect malignancy since malignant cells demonstrate higher glucose metabolism.   Thus it can differentiate between malignant and benign tumors and between recurrent tumor and scar tissue/radiation changes, etc.   In the brain, it can be used for malignancy as well as Seizures, Alzheimer, Depression, Attention Deficit Disorder (ADD), etc.

  • Interesting Cases performed at AIC

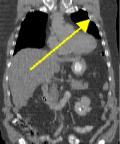
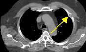
Patient below has a history of prostate cancer and melanoma with known metastasis to T7.   PET scan was performed to rule out radiation changes versus recurrence at T7.   The PET scan was negative in T7 (thus compatible with radiation changes) but serendipitously revealed marked uptake in the left upper hemithorax (Fig. 1-2 coronal and axial PET tomograms).   A subsequent CT with coronal reformation demonstrated a destructive rib lesion consistent with metastasis (Fig. 3-4).   This changed patient management who subsequently underwent chemotherapy.

Figure 1Figure 2Figure 3Figure 4

AIC has the valley's most sophisticated helical CT scanner and nuclear medicine/PET scanner.   Please call me personally for any questions.

Ray H.   Hashemi, M.D., Ph.D.
Director



| Home Page | Procedures | Certification | Radiologists | News Releases | FAQs | About Us | Location | Contact Us | 3D Gallery | Glossary | Frames |


ADVANCED IMAGING CENTER
43731 N.   15th Street West, Lancaster, CA 93534
Phone (661) 949-8111 - Fax (661) 949-6600