ADVANCED IMAGING CENTER
PHYSICIAN NEWS

November 1, 2002

INTERESTING CASE PRESENTATION
THYROGLOSSAL DUCT CYST


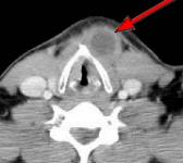
Fig.1 Fig.2 Fig.3 Fig.4

CLINICAL PRESENTATION: This patient presented with a mid-line and left paramidline mobile neck mass and was referred to AIC for a helical CT scan of the neck soft tissues.

HELICAL CT FINDINGS: The CT scan was performed on AIC’s Multi-slice, Multi-detector Helical CT Scanner with 2.7 mm axial sections at 2.5 mm intervals before and during infusion of low-osmolar, non-ionic contrast using a power injector. It shows a lobulated cystic mass (arrows) in the neck at and below the hyoid bone in the midline and to the left of it, with portions of it behind the hyoid bone and portions embedded in the left strap muscle.

DIFFERENTIAL DIAGNOSIS: The CT images are most compatible with a thyroglossal duct cyst. Other less likely possibilities include an abscess (not clinically suspected), lymphangioma/cystic hygroma (not typical location), branchial cleft cyst (not typical location), and necrotic lymph node (usually anterior to strap muscles not within them).

DISCUSSION: A thyroglossal duct cyst is a congenital neck mass or lump that develops from cells and tissues remaining after the formation of the thyroid gland during embryonic development. It is most commonly diagnosed in preschool-aged children or during mid-adolescence, and often appears after an upper respiratory infection when it enlarges and becomes painful. When the thyroid gland forms during embryonic development, it begins at the base of the tongue and moves down the neck through a canal called the thyroglossal duct. This duct normally disappears once the thyroid reaches its final position in the neck. Sometimes, portions of the duct remain leaving cavities or pockets called cysts. These cysts can fill with fluid or mucus, and may enlarge if they become infected. Very enlarged cysts can cause difficulty swallowing or obstruct breathing passages. Symptoms may include: a small, soft, round mass in the center front of the neck; tenderness, redness, and swelling of the mass, if infected; a small opening in the skin near the mass, with drainage of mucus from the cyst; difficulty swallowing or breathing.

TREATMENT: Treatment may include antibiotic medication (to treat the infection) or surgical removal of the cyst and the thyroglossal duct, called the Sistrunk procedure. A thyroglossal duct cyst has a small chance of regrowing if small portions of the tissues remain after surgery. Infection of the cyst prior to surgery can make the removal more difficult and increase the chance for regrowth.

For more information, you may call me at (661) 949-8111.

Ray H. Hashemi, M.D., Ph.D.
Director


| Home Page | Procedures | Certification | Radiologists | News Releases | FAQs | About Us | Location | Contact Us | 3D Gallery | Glossary | Frames |


ADVANCED IMAGING CENTER
43731 N. 15th Street West, Lancaster, CA 93534
Phone (661) 949-8111 - Fax (661) 949-6600